Какие исследования нужно пройти?
В 7–11 недель беременности вам нужно посетить врача в женской консультации. Не тяните до последнего.
Что будет происходить во время приема у акушера-гинеколога? · Если вы посетили женскую консультацию впервые, врач подтвердит наличие у вас беременности, расспросит вас о ваших симптомах, жалобах, соберет анамнез, проведет осмотр, возьмет мазки на флору и цитологию. · У вас измерят артериальное давление, частоту пульса, температуру тела – теперь вы будете проходить эти стандартные процедуры во время каждого приема у врача. · Вас поставят на учет. · На вас заведут обменную карту. Это документ, в который врач будет вносить информацию о вас, о течении беременности, результаты исследований и анализов. Внешний вид обменных карт может различаться в зависимости от того, в каком городе вы встаете на учет. Чаще всего это небольшая книжечка. Порядки касательно выдачи обменных карт на руки женщинам во всех консультациях тоже разные. Может быть, вы получите ее сразу после первого приема, а может быть – только после 20 недели. После того как обменная карта оказалась у вас на руках, ее нужно брать с собой на каждый прием к гинекологу. · Вам выдадут направления на анализы: общий анализ мочи и крови, биохимический анализ крови, бакпосев мочи, исследования на ВИЧ, сифилис, вирусные гепатиты, группу крови AB0 и резус-фактор, кал на яйца глист. · Вас направят на консультации к врачам-специалистам: терапевту, кардиологу, ЛОР-врачу (он возьмет мазки из носа и горла на стафилококки), офтальмологу, стоматологу.
Развитие плода
Мозг плода уже имеет два покрытых извилинами полушария. На девятой неделе начинает образовываться мозжечок и гипофиз. Мозг ребеночка уже посылает вам сигналы о своих потребностях. Кстати, ученые склоняются к мысли о том, что гастрономические причуды будущих мамочек объясняются именно этим.
Вот так выглядит твой малыш на 9 неделе (фото плода)
Продолжает развиваться и центральная нервная система. Формируются межпозвоночные, спинномозговые и черепные нервы.
Развивается костно-мышечная система, у малыша удлиняются конечности, на концах пальцев появляются уплотнения, которые впоследствии станут ноготками. На данный момент они расположены на внутренней стороне ладоней и ступней, но со временем они сдвинутся и будут расположены там, где положено.
Малыш уже сгибает и разгибает свои ручки, хорошо прослеживаются предплечья и локти, немного удлиняются ступни.
Растет и развивается сердце, оно становится четырехкамерным, иными словами, сердце вашего малыша имеет два предсердия и два желудочка. Увеличивается и пупочный канатик. Формируется средний слой надпочечников – место выработки адреналина.
Ваш малыш уже самостоятельно мочится, продукты его жизнедеятельности выводятся через пуповину, именно поэтому увеличивается нагрузка на почки будущей мамочки.
Появляются зачатки грудных желез и образуются первые лимфатические клетки. Формируются половые органы, у мальчиков яички пока располагаются в брюшной полости, потом они опустятся.
Продолжает усовершенствоваться и лицо, ваш малыш уже может открывать и закрывать рот. Глотать и морщить губы. Глазки еще пока закрыты. На ушных раковинах образовываются мочки.
Как развивается ребенок?
Конечно, больше всего будущим родителям интересно знать, что происходит с малышом на 8–9 неделе. Он растет, и к этому сроку беременности длина плода уже достигает 2,5 см. Это примерно небольшая виноградинка или вишенка. Он свободно расположен в полости матки. При этом вес его составляет 4 грамма. Но, несмотря на небольшие размеры, при проведении ультразвукового исследования, у малыша уже можно различить личико и половой бугорок.
Также на врач может увидеть и сообщить родителям много другой полезной информации, а также показать плод на мониторе, присоединенном к датчику УЗИ. Эмбрион на 9 неделе жизни выглядит как человек, явно различимы голова, лицо с носиком и губами, ушные раковины, тельце, ручки и ножки с маленькими пальчиками. Но у ребенка все есть небольшой хвостик, а пропорции тела далеки от пропорций взрослого человека, и даже новорожденного. Голова эмбриона гораздо больше и доминирует над телом.

У ребенка развиваются мышцы, поэтому его движения становятся более скоординированными. Он может запрокидывать голову, шевелить пальцами, руками и ногами. Также печень малыша начинает синтезировать эритроциты, видны мочеточники, работают почки, развивается лимфатическая система. На УЗИ четко определяется сердцебиение эмбриона. На этом сроке мозг ребенка уже начинает работать, поэтому ребенок шевелится в ответ на внешние раздражители.
Продолжается формирование мозга: появляются гипофиз, мозжечок. На сроке 9 недель начинает работать пуповина, которая соединяет организмы мамы и ребенка, передает эмбриону все необходимые для нормального развития микроэлементы и витамины, а также уносит продукты жизнедеятельности плода.


Ощущения будущей матери на 9-ой неделе
Многие женщины отмечают улучшение самочувствия, хотя некоторые неприятные ощущения еще не покидают:
- Будущая мать все чаще и чаще испытывает желание отдохнуть и прилечь;
- Продолжает мучить токсикоз (хотя с этой недели тошнота должна понемногу отступать);
- Все еще беспокоят головокружения;
- Может появиться заложенность носа;
- Отмечается нарушение сна, невозможность выспаться.
Что касается внешних изменений, то:
- талия увеличивается;
- набухает грудь, и становиться еще более чувствительной, чем раньше (именно на первый триместр, в особенности, на его конец, и приходится резкое увеличение груди);
- на груди появляется голубая сеточка из вен, это расширенные подкожные вены (но это может произойти и позже 9 недели).
Рекомендации и запреты на 9 неделе вынашивания
На девятой неделе советы будущим мамам практически не отличаются от предыдущих. Это достаточная активность, здоровый способ жизни и полноценное питание.
Особенности питания
Рацион беременной должен быть сбалансированным и полноценным. Половина суточного меню должна состоять из фруктов и овощей, а его четверть — из сложных углеводов, получить которые можно из макаронных изделий, круп, бобовых и зелени. Следует помнить о белках и употреблять достаточное количество молочной продукции, рыбы и мяса. Жиры также должны присутствовать в рационе. Предпочтение нужно отдавать полезным жирам, которые содержатся в молоке и морепродуктах.
Рекомендуется ограничить потребление сладостей и мучных изделий, слишком жирных, острых блюд, копченостей и пищи быстрого приготовления. Если у беременной есть склонность к газообразованию, лучше воздержаться от продуктов, повышающих метеоризм.
Некоторые беременные сталкиваются с запорами. Во избежание проблем с дефекацией следует добавить в рацион огурцы, кабачки и свеклу. Также для нормализации стула следует контролировать количество потребляемой жидкости.
Прием витаминов
На протяжении первого триместра беременным рекомендован прием фолиевой кислоты. Йод назначается женщинам, которые проживают на территории с йододефицитом. Если беременной не удается придерживаться правильного и полноценного питания, ей показан прием поливитаминов.
Секс на 9 неделе беременности
Если беременная хорошо себя чувствует, угроза выкидыша отсутствует, а сексуальное влечение на фоне перепадов настроения и тошноты не пострадало, интимная жизнь не ограничивается. При этом могут быть использованы любые удобные позы.
Физическая активность
Женщинам, которые занимались до беременности спортом, необходимо сократить интенсивность занятий на 20-30% и исключить любые травмоопасные ситуации. Беременным, которые были недостаточно активными, рекомендуется больше двигаться, плавать в бассейне и гулять на воздухе. Это поможет улучшить самочувствие и предупредить тромбоз глубоких вен. Полезными будут дыхательная гимнастика и фитнес.
Медицинские процедуры и прием медикаментов
Прием любых лекарственных средств может неблагоприятно отразиться на закладке органов и развитии плода. Назначение медикаментов и медицинских манипуляций должно осуществляться акушер-гинекологом.
Фото плода и живота матери на сроке 9 недель
Как выглядит эмбрион на 9 неделе? Ваш кроха еще подрос. У него уже начинает формироваться личико, удлиняются конечности, появляются пальчики. Именно на данном этапе ребенок прогрессирует и становится не эмбрионом, а плодом, поскольку большой палец на руке разворачивается так, что прижимается к ладони с внутренней стороны (противостоящий палец).
Уже можно заметить пуповину. И именно с этой недели ваш малыш начинает развиваться быстрее вдвое.
 Фото живота матери на сроке 9 недель
Фото живота матери на сроке 9 недель
Фото живота матери на 9 неделе
Именно с 9 недели может начать расти животик беременной женщины, однако каждый организм индивидуален и у кого-то это происходит раньше, у кого-то позже.
Видео – Что происходит на 9 неделе беременности
Возможные опасности на 9 неделе беременности
В отличие от предыдущих недель, риск прерывания беременности становится намного ниже, потому что уже развивается плацента, обеспечивающая достаточную защиту плода. Высокая концентрация ХГЧ и прогестерона в крови, и закрепление эмбриона тоже способствуют значительному уменьшению факторов риска, которые могут привести к прерыванию беременности. Жизнеспособность плода получает большее обеспечение различными факторами воздействия и изменениями, произошедшими в организме будущей матери, но течение беременности у каждой женщины индивидуально, и не исключено появление возможных проблем.
К ним относятся:
- замершая беременность;
- крайне редко выявляемая, но все же не исключенная внематочная беременность;
- вероятность травматического повреждения матки и плода;
- неправильное прикрепление эмбриона, которое стало заметно только на этом этапе;
- развитие врожденных аномалий, как в силу генетической предрасположенности, так и из-за негативного воздействия на организм матери (например, токсического отравления или воздействия радиации).
Иногда подобные опасности кроются в работе, или профессиональных контактах с химическими веществами, но не исключено и негативное воздействие курения или алкоголизма, наркомании, венерических и инфекционных заболеваний, синдрома ВИЧ, употребления лекарственных препаратов.
Выделения из половых путей
Светло-молочные выделения в умеренном количестве не представляют никакой опасности. Появление желтых, творожистых, зеленых или гнойных выделений с выраженным неприятным запахом, сопровождающихся жжением или зудом, свидетельствуют о развитии инфекционных заболеваний.
В данном случае без медицины не обойтись, врач проведет необходимое обследование, выявит возбудителя и назначит лечение, чтобы предотвратить попадание инфекции к плоду.
Кровянистых выделений на девятой неделе беременности быть не должно, кровь на трусиках, даже мажущий характер выделений является поводом для обращения за помощью. Особенно быстро следует реагировать, если кровянистые выделения сопровождаются болью в животе, так как такой симптом является угрозой прерывания беременности.
Кровянистые выделения вызываются еще и эрозией шейки матки, однако такие выделения не сопровождаются болью.
Помните, что в этот период никаких кровоотделений быть не должно, и при их появлении сразу обращайтесь за медицинской помощью, врач выявит причину их появления и назначит необходимые обследования и лечебные процедуры.
Обследования на 9 неделе вынашивания
Если будущая роженица хорошо себя чувствует и еще не хочет вставать на учет (сделать это нужно до 12 недель), на этой неделе можно не проходить никаких обследований. Тем, кто решил посетить женскую консультацию, акушер-гинеколог выдаст перечень соответствующих анализов. К ним относятся:
- Общие (клинические) исследования мочи, крови;
- Коагулограмма;
- Бакпосев мочи;
- Кровь на резус-фактор, группу крови;
- Проверка крови на гепатит, сифилис, ТОРЧ-инфекции;
- Анализ влагалищного мазка;
- Обследование кала на глисты;
- Проверка мазка из полости носа и зева на стафилококк;
- Консультации врачей (отоларинголога, офтальмолога, терапевта, кардиолога, стоматолога).
Также показано ультразвуковое исследование плода. Процедура УЗИ позволяет определить срок беременности, толщину плаценты, а также общее состояние яичников и пуповины.
В зависимости от специфики медучреждения и состояния беременной перечень обследований может меняться. Если в анамнезе были выкидыши или у врача есть опасения относительно здоровья будущей матери, ей могут быть рекомендованы анализы на прогестерон и ХГЧ.
При постановке на учет гинеколог измеряет окружность живота, артериальное давление и вес беременной. В дальнейшем эти показатели будут измеряться при каждом посещении доктора и фиксироваться в обменной карте.
Как лечить простуду на 9 неделе беременности?
В первую очередь нужно вызвать врача и убедиться, что у беременной женщины в самом деле простуда, а не заложенность носа из-за гормонов, или, напротив, не более серьезное заболевание. Некоторые препараты безопасны, начиная с определенных сроков беременности. И все же не стоит заниматься самодеятельностью и принимать их без назначений врача. Вы можете попробовать некоторые домашние и народные средства: · Больше отдыхайте. Это поможет вашему телу сохранить дополнительные ресурсы и направить их на борьбу с инфекцией. · Пейте больше жидкости. · Если у вас болит горло или мучает кашель, помогут полоскания теплой соленой водой. · Для борьбы с насморком в нос можно закапать физиологический раствор – он обычно применяется для капельниц и продается в аптеках в больших стеклянных или пластиковых флаконах. · Старайтесь, чтобы воздух в помещении, где вы находитесь, был теплым и влажным. Создать нужный микроклимат помогут обогреватели и увлажнители. · Улучшить состояние при простуде помогает куриный бульон. · Пейте горячий чай с лимоном и медом. · Если беспокоят боли в пазухах возле носа, можно приложить что-то теплое или прохладное.
Как защититься от гриппа и простуды во время беременности?
Во время беременности иммунная система слабеет, поэтому зловредным бактериям и вирусам относительно легко проникнуть в организм будущей мамы и причинить вред
Важно знать о мерах профилактики. Лучший способ защитить себя от самой страшной ОРВИ – гриппа – пройти вакцинацию
Посетите врача, он расскажет о том, как и когда правильно прививаться.«Бытовые» меры защиты от простуды могут показаться слишком простыми и несущественными, но они играют огромную роль в профилактике: · Старайтесь не бывать в людных местах во время «сезона простуд». · Чаще мойте руки – вирусы могут передаваться через них. Например, если вы подержитесь за поручень в автобусе, а потом дотронетесь грязной рукой до глаз или носа. · Не ходите в гости туда, где есть больные люди. · Если больной появился в вашем доме, его нужно максимально изолировать от вас. · Регулярно делайте влажные уборки и проветривайте в комнатах.
Боли на 9 неделе беременности
Будущие мамочки в течение беременности могут часто жаловаться на боли. Постоянной спутницей беременности считается боль в спине. На поздних сроках причиной ее возникновения является нагрузка за счет увеличившегося животика, смещение центра тяжести, повышенная нагрузка на мышечный аппарат. Но если болезненные ощущения возникают в конце первого триместра, причина совсем другая. Часто так отдает боль при повышении тонуса матки. Из-за особенностей иннервации женщина ощущает ее не как боль в животе, а именно в поясничной области. Если такие ощущения возникают после физической нагрузки, при подъеме с постели — нужно обратиться к врачу, чтобы своевременно выявить гипертонус и назначить необходимое лечение. Ведь это может быть первым симптомом прерывания беременности в 9 недель.
Боль в поясничной области может иметь и другую причину. При беременности у женщины снижен иммунитет. Так ее организм обеспечивает вынашивание малыша. Но следствием этого является повышенный риск развития инфекций, в том числе мочевыделительной системы. Боль при пиелонефрите характеризуется как постоянная, ноющая, но иногда это может быть даже просто чувство дискомфорта. Это заболевание сопровождается повышением температуры и требует проведения антибактериальной терапии, поэтому при подозрении на инфекцию мочевыделительной системы обязательно обратитесь к врачу.
Особого внимания заслуживает боль в животе на 9 неделе. Это типичный признак угрозы прерывания беременности. Нормой считается, если после нагрузки, поднятия тяжелого предмета, быстрой ходьбы возникает ощущение, что живот каменеет. Но если данное ощущение перерастает в боль, требуется консультация врача. Особенно если это состояние сопровождается кровянистыми или коричневыми выделениями.
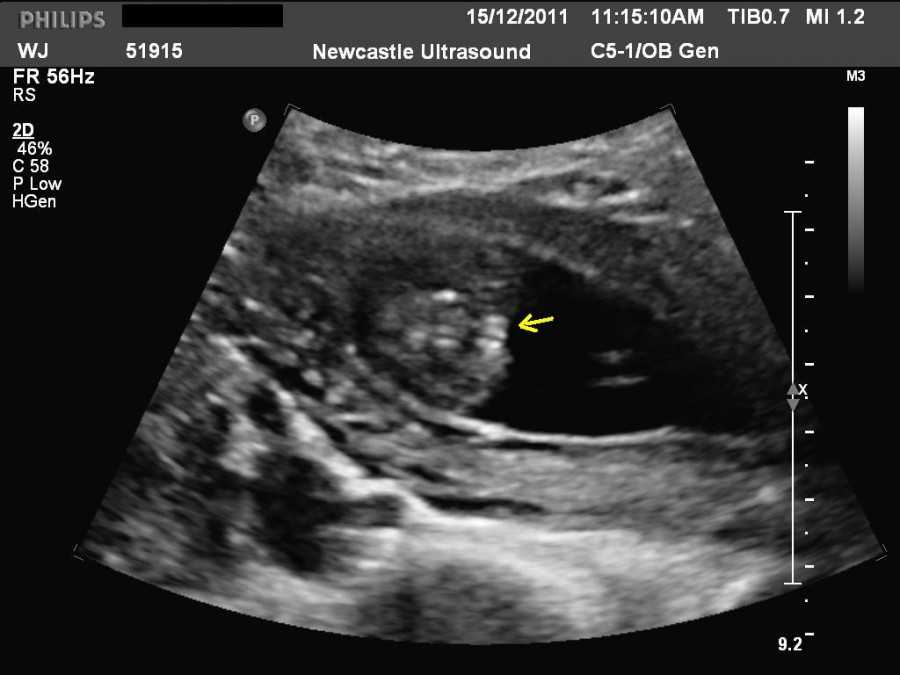
УЗИ на 9-ой неделе беременности
Ваш малыш уже официально именуется плодом, а не эмбрионом, с чем вас и поздравляем!
На УЗИ плода на 9 неделе определяется толщина плаценты и общее состояние пуповины. При помощи допплера, будущая мама может отметить частоту сердечных сокращений малыша. Хотя многие внутренние органы уже достаточно развиты, это не всегда можно увидеть на УЗИ на 9 неделе.
Внутренние органы крохи еще могут выступать в виде пупочной грыжи, но нет повода для беспокойства, ведь это совершенно нормальное явление.
На УЗИ на данном сроке обязательным является общая оценка состояния яичников.
 УЗИ на сроке 9 недель
УЗИ на сроке 9 недель
Плод на 9 неделе беременности и его развитие
Беременность 9–10 недель — это период очень активного развития ЦНС. Сформированы полушария головного мозга, закладывается мозжечок. Скоро движения малыша приобретут целенаправленность. Но уже сейчас он может двигать ручками, ножками, а если находится возле стенки матки — отталкивается от нее, как в бассейне. Малыш даже может совершать глотательные движения.
Происходит формирование спинномозговых ганглиев, нервных стволов. В головном мозге малыша закладывается гипофиз, он уже продуцирует гормоны.
Начинается формирование лимфатической системы, отвечающей за очищение организма от продуктов метаболизма, токсинов, а также выполняющей иммунную функцию.
Развивается мышечная система. Конечности малыша становятся более толстыми, движения усиливаются. Происходит формирование крупных суставов. Ручки малыша сейчас несколько опережают в развитии ножки, поэтому на ранних сроках они длиннее. Происходит формирование кисти: образуется ладошка, пальчики удлиняются, постепенно исчезают перепоночки между ними. Начинают формироваться закладки ноготков, пока в виде утолщения эпидермиса.
Важные изменения происходят в дыхательной системе малыша: начинается разветвление бронхиального дерева. Формируются главные бронхи.
Продолжается формирование сердца. Сейчас оно сокращается с частотой 130–150 ударов за минуту.
У эмбриона постепенно выпрямляется спинка, исчезает хвостик. Его головка склонена к туловищу, и пока она непривычно большая. Уже сформировались глазки малыша, но пока они закрыты веками. Еще не образованы свето- и цветочувствительные рецепторы сетчатки, они образуются на более поздних сроках.
На данном сроке хорошо сформирована плацента, и малыш активно получает все нужные ему вещества. И мама обязательно должна это учитывать — следить за питанием нужно строго, несмотря на тошноту и отвращение к некоторым блюдам.
В конце первого триместра начинает функционировать плацента. Именно она регулирует обменные процессы между мамочкой и малышом. Плацентарный барьер не пропускает к малышу многие вредные вещества. Он защищает кроху и обеспечивает его всеми необходимыми веществами.
Твои ощущения на 9 неделе
Вероятнее всего, что по утрам вас еще мучает токсикоз, отдельные ароматы вызывают отвращение. Гастрономические причуды и пищевые комбинации продолжают удивлять ваших родных и близких.
Походы в туалет с каждым днем учащаются, ведь ваши почки теперь работают за двоих. Периодически проявляются приступы головокружения и недостатка воздуха.
Привычная одежда может стать тесной, так как организм начинает откладывать жировые запасы. Но это не говорит о том, что нужно соблюдать диету, запасы жира нужны для нормальной жизнедеятельности малыша, а после рождения ребенка для его лактации! Так что диетами увлекаться не стоит, нужно просто сменить гардероб, перейдя на более свободную и просторную одежду. В идеале, одежда должна быть выполнена из натуральных материалов.
К имеющимся симптомам прибавляются новые, такие как насморк и нарушение сна.
Как развивается ребенок

На 15-й неделе беременности размер плода уже хорошо увеличился, его рост составляет 10 см, а весит он примерно 50 грамм. В это время плод становится похож на человечка, он лежит, свернувшись калачиком.
У него сейчас подвижное и гибкое тело, уже сжимаются кулачки, руки в суставах сгибаются. На УЗИ видно, что он постоянно сосет палец руки. Плод обтянут очень тонкой прозрачной кожицей красноватого цвета. В это время на ней начинает появляться пушок.
Во внутренних органах происходят следующие изменения:
- Формируется головной мозг, в нем появляются бороздки и извилины;
- Сердечко активно работает и прокачивает очень много крови;
- Очень быстро начинают расти артерии и вены;
- Все органы ребенка оплетаются нервами;
- В этот срок ребенок учится заглатывать и выплевывать амниотическую жидкость, совершая первые дыхательные упражнения;
- Развиваются ушные раковины, на головке у ребенка появились уже настоящие ушки, улавливающие извне шум;
- Хотя глазки еще полностью закрыты веками, они уже реагируют на свет. Если посветить фонариком на живот, малыш начнет отодвигаться;
- Быстро растут конечности. Руки на 15-й акушерской неделе становятся короче ног.
У некоторых женщин в 15 недель беременности шевеления плода уже слышны, хотя они еще слабые. Окончательную позицию в матке ребенок сумеет занять лишь в конце третьего триместра. Пока он постоянно меняет положение своего тела. Некоторые мамы принимают первые робкие шевеления малыша за работу кишечника.
Болевые ощущения на 9 неделе беременности
На 9 неделе беременности почти все будущие мамы испытывают довольно неприятные ощущения в области ягодиц, которые усиливаются во время ходьбы. Этот симптом говорит о защемлении седалищного нерва, которое вызвано увеличившейся маткой. Лечение это состояние не требует: постепенно дискомфорт уйдет самостоятельно. Чтобы уменьшить боль, врачи рекомендуют не спать на спине, а также не делать резких движений. Также отлично помогает ношение специального бандажа.
Это интересно: Как носить бандаж на 9 неделе беременности
Большую тревогу должны вызывать схваткообразные тянущие боли в нижней части живота. Одновременно могут наблюдаться кровянистые выделения. Подобные симптомы говорят о наступлении выкидыша. Если вы на 9 неделе беременности ощущаете эти признаки, немедленно ложитесь в постель и вызывайте скорую помощь!
Боль в животе на 9 неделе беременности могут вызывать проблемы с кишечником. Волноваться не стоит: как правило, в этом случае врач назначает прием «Но-шпы».
Фото 9 недели беременности





































Также рекомендуем просмотреть:
- 27 неделя беременности
- 1 неделя беременности
- 24 неделя беременности
- 22 неделя беременности
- 20 неделя беременности
- 18 неделя беременности
- 16 неделя беременности
- 15 неделя беременности
- 30 неделя беременности
- 2 недели беременности
- 23 неделя беременности
- 8 неделя беременности
- 28 неделя беременности
- Прерывание беременности
- Признаки беременности
- 29 неделя беременности
- 21 неделя беременности
- Третья беременность
- Живот при беременности
- 26 неделя беременности
- Изжога при беременности
- 25 неделя беременности
- 17 неделя беременности
- 11 неделя беременности
- 10 неделя беременности
- 19 неделя беременности
- КТГ при беременности
- Как определить пол ребенка
- 14 неделя беременности
- 13 неделя беременности
- 12 недель беременности
- 6 неделя беременности
- 5 неделя беременности
- 4 недели беременности
- Вес при беременности
- К чему снится беременность
- Как зачать мальчика
- Беременность после 30
- Первая беременность
- УЗИ при беременности
- 3 недели беременности
- Тянет живот при беременности
- Начало беременности
- Боли при беременности
- Беременность по неделям
- Ребенок начал толкаться
- Поздняя беременность
- Беременность двойней
- 7 неделя беременности
- Отеки при беременности
- Курение во время беременности
- Как зачать девочку
- Токсикоз при беременности
- Тест на беременность
- Как рассчитать беременность
- 2 триместр беременности
- Вторая беременность
- Замершая беременность
- Внематочная беременность
- Планирование беременности
- 1 триместр беременности
- 3 триместр беременности
- Температура при беременности
Ощущения мамы
Сейчас вас могут беспокоить симптомы токсикоза: тошнота, обычно в утреннее время, отвращение к вкусу и даже запаху некоторой пищи, может даже раздражать запах ранее любимых духов. Потерпите еще немного — ведь скоро токсикоз пройдет, и вы сможете наслаждаться периодом ожидания малыша. Если токсикоз выражен сильно, вы даже можете заметить, что вес несколько уменьшился. Проконсультируйтесь у врача — возможно, нужно медикаментозное лечение.
Старайтесь больше отдыхать, гулять — ведь на этом сроке часто будущие мамочки ощущают повышенную утомляемость, головокружения.
К этому сроку начинают увеличиваться молочные железы, возможны некоторые болезненные ощущения. Вам нужно носить удобное поддерживающее белье, лучше специальный бюстгальтер для беременных. Кроме того, самое время использовать средства от растяжек: если ваш животик на 9 неделе беременности еще незаметен, и кожа на нем не растягивается, то кожа груди подвергается существенному растяжению. Приобретите специальный крем на основе растительных компонентов — такие средства безопасны для малыша, они специально разработаны для будущих мамочек.
В норме, если тошнота вас не слишком беспокоит, вес уже несколько увеличивается. В основном не за счет малыша, ведь он весит пока всего несколько граммов, а за счет увеличения матки, околоплодных вод, ваших молочных желез, объема жировой ткани, иногда — отеков. Кроме того, увеличивается объем циркулирующей крови. При этом количество форменных элементов увеличится несколько позже, и из-за этого вы можете испытывать периодическую слабость, головокружение, одышку.
В период беременности усугубляется течение вазомоторного ринита. Женщина может отмечать заложенность носа, необильные водянистые выделения. Если необходимо использование препаратов, облегчающих носовое дыхание, обязательно спросите у врача, какие вам сейчас можно применять. Целесообразно приобрести увлажнитель воздуха — он вам очень пригодится и после рождения малыша. Это хорошая профилактика вирусных инфекций, аллергии.
Часто мамочки в первом триместре отмечают, что постоянно хочется спать. При этом полноценно выспаться ночью трудно. Причина этого явления — изменение гормонального фона, а также зачастую ваше беспокойство о течении беременности, о малыше. Постарайтесь организовать свой режим дня так, чтобы перед сном минимум час прогуляться, причем желательно с супругом, ведь психологическая поддержка любимого — лучшее лекарство. Почитайте перед сном хорошую книгу — например, об уходе за малышом. Послушайте спокойную музыку. Выберите удобную подушку, причем уже самое время подумать о приобретении подушки для беременных. Это очень удобное приспособление имеет форму большого банана, и на более поздних сроках беременности, когда ваш животик увеличится, поможет спать в удобном положении.
9 неделя беременности двойней
Если вы вынашиваете двух малышей, на этом сроке беременность еще не отличается от одноплодной. Ваши малыши активно развиваются, матка увеличивается в размерах, и уже может быть заметен округлившийся животик. Вас так же могут беспокоить симптомы токсикоза, но это необязательно. Больше уделяйте времени себе, отдыхайте, если у вас хорошее самочувствие — пойдите на спортивные занятия для беременных. Хорошая физическая форма для вас очень важна — это поможет легче выносить двух малышей и легче родить.
Секс на 9 неделе беременности
Начало беременности часто сопровождается повышенным тонусом матки, поэтому будущие мамы и папы переживают, возможна ли на этом сроке интимная жизнь. Врачи отвечают на этот вопрос однозначно: противопоказаниями к половому акту является только угроза прерывания беременности и предлежание плаценты. Если беременность протекает нормально — нет причины отказываться от удовольствия. К тому же интимная жизнь сближает супругов, что сейчас особенно необходимо.
Питание

Довольно часто питание беременной на ранних сроках вызывает сложности. Каждая женщина понимает, что рацион должен быть разнообразным, но при сильном токсикозе порой даже самые полезные продукты есть невозможно. Но, соблюдая определенные рекомендации, можно справиться с этим.
Сейчас ваше питание должно быть дробным: кушайте маленькими порциями, но часто. Постарайтесь, чтобы каждый прием пищи включал в себя белковое блюдо, а также овощи. Так даже при небольшом количестве съеденной пищи вы и малыш получите необходимые ценные вещества. Обязательно контролируйте количество выпитой жидкости. За сутки вы должны выпивать около двух литров чистой воды (если нет медицинских противопоказаний). Включите в меню любимые фрукты, овощи, мясные блюда, молочнокислые продукты. Очень полезен домашний йогурт. Он улучшает пищеварение, повышает аппетит.
Ваш рацион питания должен включать продукты, препятствующие развитию запоров: абрикос, чернослив, виноград, инжир, огурцы, свеклу и другие. Максимально исключите легкие углеводы, и не только потому, что они приводят к набору лишнего веса. Избыток углеводной пищи провоцирует брожение в кишечнике, в результате пищеварение нарушается, аппетит становится еще хуже. Но сложные углеводы, напротив, активизируют пищеварение, способствуют восполнению энергетических запасов, благотворно влияют на самочувствие. На 9 неделе беременности развитие малыша происходит стремительно, и ему необходимо, чтобы мама хорошо кушала. Поэтому постарайтесь подобрать оптимальный план питания.
Что происходит на 9 неделе
Самый популярный процесс на этой неделе – это токсикоз. Позывы к рвоте могут случаться как утром, так уже и по вечерам. Любые запахи, которые до этого были нейтральны для ощущений, могут стать настоящей проблемой.

Если процесс восприятия запахов, от которых случается частая тошнота, не проходит, рекомендуется посетить врача, чтобы тот прописал необходимые витамины и минералы, которые облегчат состояние.

Другие признаки беременности, связанные с головокружениями, потерей или увеличением аппетита, тошнотой, усталостью и сонливостью и т.д. могут как минимум принять минимальное значение, так как организм по немного адаптируется, так и вовсе пропасть.
Однако данные изменения характерны только для окончания девятой недели. Внешний вид талии и живота в целом начинает довольно таки заметно увеличиваться, но это никак не сказывается на чувствительности малыша.


Какой живот на девятой неделе вы можете посмотреть на фотографиях. Многих будущих мам на данном сроке может настораживать запор, который легко лечится употреблением кисломолочных продуктов и легкими физическими упражнениями для беременных.

Также среди внешний изменений можно выделить здоровый румянец на лице и блеск волос. Поведение молодой мамы меняется с капризного на благосклонный, что выражается в желании создать уютную атмосферу дома. Однако предельно высок риск выкидыша, поэтому все замечания по этому поводу необходимо строго соблюдать.
Рекомендации
9 неделя предусматривает правильное питание, и согласование с диетологом необходимого ребенку пищевого рациона, на основании сданных анализов (например, присутствие анемии, или нехватки железа в организме)
Особенное внимание следует уделить получению свежего воздуха и двигательной активности. Нужно предпринимать прогулки на свежем воздухе, чтобы ребенок получал как можно больше кислорода
При проявлениях постоянной усталости и апатии, необходимо чаще отдыхать, уделять внимание внешности, слушать хорошую музыку и читать хорошие книги. Должно быть ограничено понятие тяжестей, исключены негативные эмоции, во избежание негативных сценариев нужно стать на учет, и регулярно проходить медицинские обследования. В этот период к женщине нужно относиться особенно бережно.






















































