Менингиома головного мозга — одна из наиболее часто встречающихся доброкачественных опухолей центральной нервной системы. Центр Гамма-нож сегодня представляет собой важный этап в эволюции методов борьбы с этой патологией, предлагая высокоточную стереотаксическую радиохирургию без необходимости традиционного открытого вмешательства.

Что такое менингиома и почему она требует внимания
Менингиома развивается из клеток паутинной оболочки мозга и чаще всего растёт медленно. Несмотря на доброкачественный характер, опухоль может достигать значительных размеров и вызывать серьёзные неврологические нарушения из-за сдавления окружающих структур мозга.
Клиническая картина зависит от локализации: головные боли, судороги, нарушения зрения, координации, слабость в конечностях или изменения психики. Многие менингиомы обнаруживают случайно при МРТ, выполненной по другому поводу, когда опухоль ещё не проявляет себя ярко.
Преимущества метода Гамма-нож при менингиоме
Гамма-нож — это не нож в привычном понимании, а сложная система из 192 источников кобальтового излучения, которые сходятся в одной точке с субмиллиметровой точностью. За один сеанс в опухоль доставляется высокая доза радиации, разрушая её клетки, при этом окружающие здоровые ткани практически не страдают.
Основные сильные стороны метода включают:
- Отсутствие разрезов и трепанации черепа
- Минимальный риск инфекционных осложнений
- Короткий период восстановления — большинство пациентов покидают клинику в день процедуры
- Возможность лечения труднодоступных и глубоких образований
- Высокая эффективность при небольших и средних размерах опухоли (до 3–3,5 см)
Особенно ценен этот подход для пациентов пожилого возраста, людей с сопутствующими тяжёлыми заболеваниями и тех, у кого оперативное вмешательство сопряжено с высоким риском.

Когда Гамма-нож становится методом выбора
Радиохирургия особенно показана при небольших и средних менингиомах, а также при остаточных или рецидивных опухолях после предыдущих операций. Хорошие результаты демонстрируют новообразования, расположенные в области кавернозного синуса, у основания черепа, вблизи зрительных нервов и ствола мозга — там, где традиционная хирургия сопряжена с высоким риском повреждения важных структур.
Современные центры используют продвинутые системы планирования, позволяющие учитывать форму опухоли, её близость к критическим зонам и индивидуальные особенности пациента. Это даёт возможность максимально сохранить качество жизни после лечения.
Эффективность и долгосрочные результаты
По данным многолетних наблюдений, контроль роста менингиомы после радиохирургии достигает 90–95% в течение 5–10 лет. У большинства пациентов опухоль либо стабилизируется, либо постепенно уменьшается в размерах. Полное исчезновение встречается реже, но даже значительное уменьшение объёма обычно приводит к регрессу симптомов.
Важно отметить, что побочные эффекты при правильном планировании встречаются редко. Временный отёк, требующий медикаментозной коррекции, развивается примерно у 5–10% пациентов, а серьёзные осложнения — значительно реже.
Выбор между наблюдением, открытой операцией и радиохирургией всегда индивидуален и зависит от размера, роста, локализации опухоли, возраста и общего состояния здоровья человека. Во многих случаях именно Гамма-нож позволяет эффективно контролировать заболевание, избегая более инвазивных вмешательств.
Лечение менингиомы головного мозга с использованием технологии Гамма-нож продолжает совершенствоваться, открывая новые возможности для пациентов, которые ранее имели ограниченные варианты терапии. Этот метод уже занял прочное место среди современных подходов к лечению внутричерепных новообразований, сочетая высокую эффективность с максимальной безопасностью.
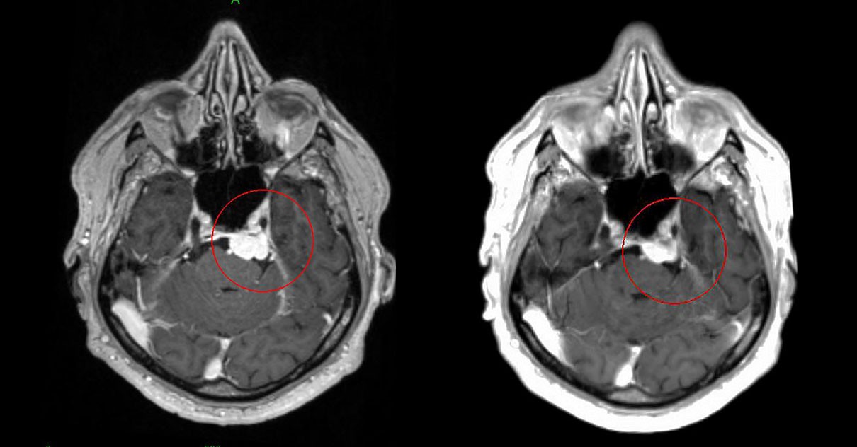
Вот изображение, иллюстрирующее процесс радиохирургии Гамма-нож при лечении менингиомы

(до и после лечения — наглядный пример уменьшения опухоли)
