Спинной мозг – жизненно важный орган центральной нервной системы, представляющий собой продолжение головного мозга в позвоночном канале. Его функциональная значимость огромна, поскольку он отвечает за передачу сенсорной информации от тела к мозгу и двигательных команд от мозга к мышцам. Любые изменения в структуре или функционировании спинного мозга могут приводить к серьезным нарушениям ощущений и двигательных функций, существенно снижая качество жизни.

Рефлекторная функция спинного мозга, основанная на активности серого вещества, обеспечивает быстрые, автоматические ответы на раздражители. Проводниковая функция, реализуемая белым веществом, гарантирует эффективную передачу нервных импульсов. Нарушение любой из этих функций влечет за собой специфические клинические проявления.
Важно понимать, что спинной мозг не является изолированной структурой. Вегетативные ядра, расположенные в боковых рогах серого вещества, регулируют функции внутренних органов. Повреждение этих ядер может привести к нарушениям сердечно-сосудистой системы, дыхания, пищеварения и других жизненно важных процессов.
Морфологические формы нейронов – униполярные, биполярные, псевдоуниполярные и мультиполярные – определяют специфику передачи нервных импульсов. Серое вещество, состоящее из тел нейронов, и белое вещество, образованное нервными волокнами, тесно взаимодействуют, обеспечивая комплексную работу спинного мозга. Ядро полового нерва (nucleus nervi pudendi) и ядро Онуфа играют важную роль в регуляции тазовых функций.
Концевая нить (filum terminale), отходящая от conus medullaris, является атрофированной нижней частью спинного мозга, представляющей собой продолжение оболочек. Изучение особенностей развития и эволюции спинного мозга, а также возрастных изменений и изменений, вызванных поражениями, имеет решающее значение для понимания патогенеза и разработки эффективных методов лечения.
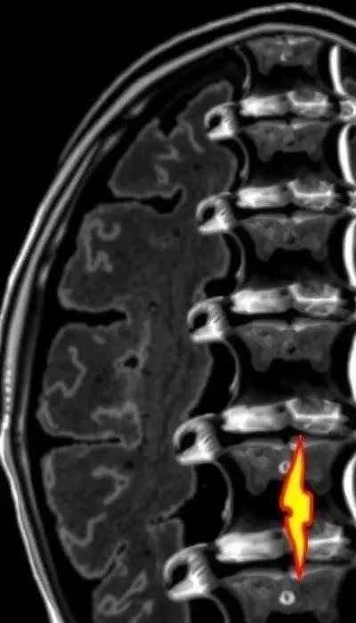
Изменения спинного мозга могут быть вызваны различными факторами, включая травмы, опухоли, инфекции и сосудистые нарушения. В зависимости от уровня и степени повреждения, могут возникать различные синдромы, такие как синдром Броун-Секара, характеризующийся односторонней слабостью и потерей чувствительности, или спинальный шок, представляющий собой временную потерю функций ниже уровня повреждения.
Потеря чувствительности и паралич являются наиболее распространенными симптомами повреждения спинного мозга. Однако, помимо этих очевидных проявлений, могут возникать нарушения функций тазовых органов и вегетативные нарушения, существенно ухудшающие качество жизни пациента. Понимание этих изменений и их влияния на ощущения и функции является ключевым для разработки эффективных стратегий лечения и реабилитации.

Классификация Повреждений Спинного Мозга
Повреждения спинного мозга классифицируются по различным критериям, включая степень тяжести, уровень поражения и наличие сопутствующих синдромов. Различают полные и неполные повреждения, определяемые наличием или отсутствием сохранности сенсорных и двигательных функций ниже уровня травмы.
Полное повреждение характеризуется полным отсутствием двигательной и чувствительной функции ниже уровня поражения. Неполное повреждение предполагает сохранение некоторой двигательной или чувствительной функции, что может значительно варьироваться в зависимости от конкретного случая.
Уровни повреждения спинного мозга определяются по сегментам позвоночника: шейный (C1-C8), грудной (T1-T12), поясничный (L1-L5) и крестцовый (S1-S5). Уровень повреждения напрямую влияет на функциональные нарушения. Повреждения шейного отдела часто приводят к тетраплегии (параличу всех четырех конечностей), в то время как повреждения поясничного отдела обычно вызывают параплегию (паралич нижних конечностей).
Существует несколько специфических синдромов повреждения спинного мозга. Передний синдром характеризуется потерей болевой и температурной чувствительности, а также слабостью в конечностях. Задний синдром проявляется нарушением проприоцепции (чувства положения тела в пространстве) и вибрационной чувствительности. Синдром Броун-Секара – односторонняя потеря болевой и температурной чувствительности, слабость в конечности на стороне поражения и нарушение проприоцепции на противоположной стороне.
Центромедуллярный синдром часто возникает при повреждениях шейного отдела и характеризуется слабостью в руках и потере чувствительности к боли и температуре. Синдром конуса возникает при повреждении conus medullaris и проявляется нарушением функции тазовых органов и слабостью в ногах. Синдром конского хвоста – повреждение нервных корешков в области поясничного отдела, вызывающее боль, слабость и нарушение функции тазовых органов.
Точная классификация повреждения спинного мозга имеет решающее значение для определения прогноза, планирования лечения и реабилитации, а также для оценки степени инвалидности. Понимание различных типов повреждений позволяет врачам разрабатывать индивидуальные стратегии восстановления и улучшения качества жизни пациентов.
Полные и Неполные Повреждения
Полное повреждение спинного мозга определяется как отсутствие двигательной и чувствительной функции ниже уровня травмы, включая сегмент S4-S5, отвечающий за функцию тазовых органов. Это означает полную потерю контроля над мышцами и отсутствие ощущений ниже уровня поражения. Прогноз восстановления двигательной функции в таких случаях крайне неблагоприятный.
Неполное повреждение характеризуется сохранением некоторой двигательной или чувствительной функции ниже уровня травмы. Степень сохранности может варьироваться от незначительной чувствительности до способности выполнять некоторые движения. Неполные повреждения подразделяются на различные категории в зависимости от степени сохранности функций, что влияет на прогноз и реабилитационный потенциал. Важно отметить, что даже при неполном повреждении могут наблюдаться значительные нарушения, требующие длительной реабилитации.
Оценка степени повреждения проводится с использованием стандартизированных шкал, таких как American Spinal Injury Association (ASIA) Impairment Scale, которая позволяет объективно оценить двигательную и чувствительную функцию на различных уровнях спинного мозга. Эта оценка имеет решающее значение для определения тактики лечения и прогнозирования исхода.

Лечение и Реабилитация
Лечение повреждений спинного мозга включает в себя как консервативные, так и хирургические методы. Хирургическое вмешательство может быть необходимо для стабилизации позвоночника, декомпрессии спинного мозга и удаления гематом или инородных тел. Консервативное лечение направлено на предотвращение осложнений, таких как пролежни и инфекции.
Ранняя реабилитация играет ключевую роль в восстановлении функций и адаптации к новым условиям жизни. Она начинается в стационаре и продолжается амбулаторно. Физиотерапия направлена на укрепление мышц, улучшение координации и восстановление двигательных навыков. Эрготерапия помогает пациентам адаптироваться к повседневной жизни, обучая их новым способам выполнения привычных задач.
Психотерапия необходима для преодоления эмоциональных и психологических проблем, связанных с повреждением спинного мозга. Поддержка семьи и друзей также играет важную роль в процессе восстановления. Комплексный подход к лечению и реабилитации позволяет максимально улучшить качество жизни пациентов.
